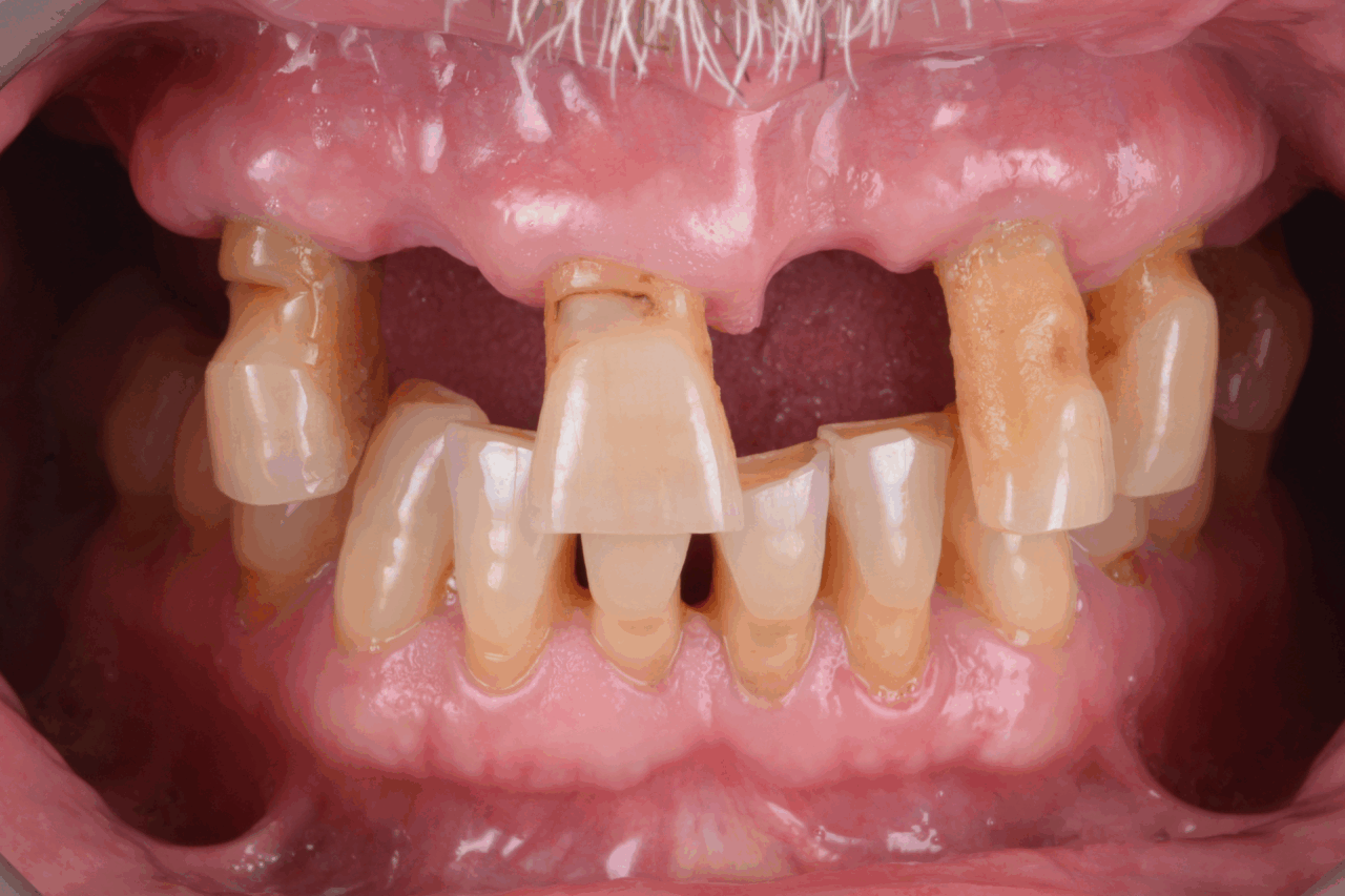
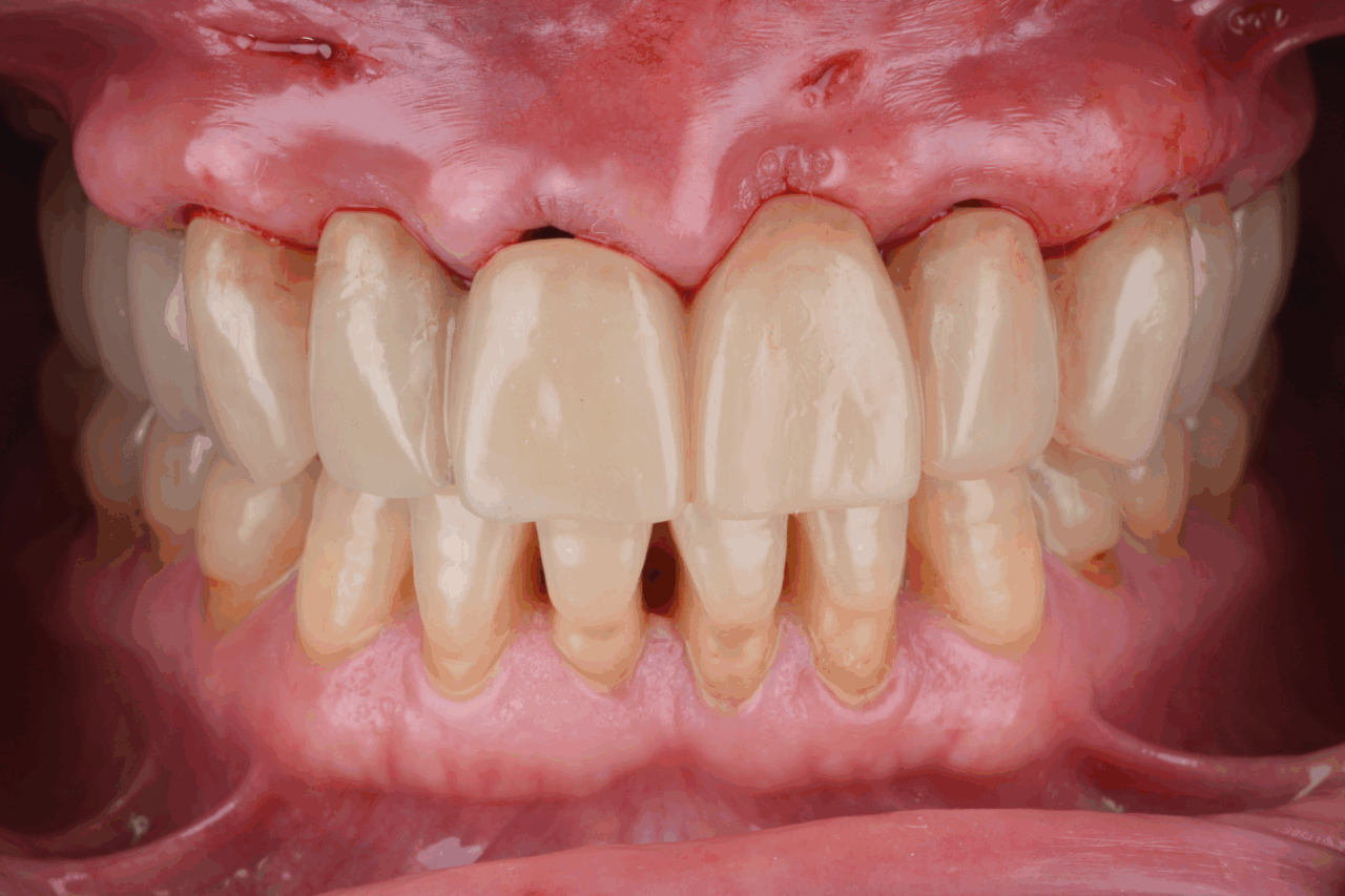
La perdita parziale o totale dei denti può oggi essere affrontata efficacemente grazie all’inserimento di radici artificiali nel tessuto osseo. Queste strutture sostituiscono le radici naturali e svolgono la loro funzione, sostenendo protesi fisse o contribuendo alla stabilità di quelle mobili.
Gli impianti dentali, costituiti da viti in titanio inserite nell’osso, rappresentano la tecnologia di riferimento. Le controindicazioni sono sempre più rare, grazie all’evoluzione dei materiali e delle tecniche chirurgiche.

Cos’è la chirurgia guidata?
La chirurgia guidata è una tecnica che sfrutta strumenti digitali avanzati – come la tomografia computerizzata (CBCT), la progettazione CAD e la stampa 3D – per analizzare con estrema precisione la struttura ossea del paziente e pianificare il posizionamento degli impianti prima dell’intervento. Una volta completata la fase di progettazione, si realizza una guida chirurgica personalizzata che consente al medico di seguire fedelmente il percorso stabilito.

Il vantaggio chiave: la sicurezza
Uno dei principali benefici di questo approccio è la sicurezza clinica. Pianificare tutto in anticipo significa ridurre al minimo gli imprevisti, sia per il professionista che per il paziente. Le guide chirurgiche stampate in 3D permettono di eseguire l’intervento con movimenti precisi e controllati, aumentando la tranquillità del medico e la predicibilità anche nei casi più complessi.

La tecnologia digitale al servizio della pratica clinica
Il processo diagnostico inizia con la scansione della bocca e una radiografia tridimensionale. Questi esami vengono integrati in un modello virtuale della situazione clinica, su cui si possono sovrapporre ulteriori dati come fotografie o scansioni del volto.
Progettare la posizione e la forma dei nuovi denti consente di determinare con precisione il posizionamento degli impianti, riducendo l’improvvisazione chirurgica. Questo passaggio è fondamentale per garantire sicurezza operativa, sia per il paziente che per il clinico.
Le valutazioni includono la disponibilità di osso, la scelta del dispositivo in base alla qualità ossea e alla funzione da svolgere, la posizione rispetto agli elementi protesici e il rispetto dei limiti anatomici.
Una mascherina chirurgica personalizzata, realizzata in resina o titanio tramite stampa 3D, consente di trasferire fedelmente il progetto nella fase operativa.

Benefici concreti e misurabili
Oltre alla sicurezza, la chirurgia guidata riduce i tempi dell’intervento e ne limita l’invasività, grazie alla pianificazione che consente di conoscere la morfologia anatomica senza doverla necessariamente visualizzare direttamente. Le tecnologie digitali migliorano anche la comunicazione medico-paziente: immagini 3D, simulazioni e rendering aiutano a spiegare ogni fase del trattamento, favorendo la comprensione e il coinvolgimento attivo del paziente.
In situazioni cliniche favorevoli, è possibile applicare immediatamente protesi provvisorie, riducendo i tempi di attesa per la soluzione definitiva.
GUARDA LA GALLERY (3 foto)



Un passo avanti nella qualità odontoiatrica
L’adozione della chirurgia guidata comporta un investimento iniziale in formazione e tecnologie, ma i vantaggi sono evidenti: maggiore qualità del servizio, pazienti più soddisfatti, minori complicanze e risultati più prevedibili. Non è solo una scelta strategica, ma un’evoluzione necessaria verso un’odontoiatria moderna e consapevole.
Più precisione, più fiducia
La chirurgia guidata rappresenta un nuovo modo di concepire l’intervento odontoiatrico. Unisce la precisione digitale alla competenza clinica, aumentando la sicurezza per il medico e il benessere per il paziente. In un contesto in cui qualità e trasparenza sono sempre più richieste, questo approccio offre una garanzia in più per tutti.
Per informazioni, lo Studio del dottor Paolo Arosio è a Vimercate in via Don Lualdi 4/C,
Tel. 039 6085229 – Cell. 320 2676512
